Se preferir, ligue para:
(21) 3252-3350 |
(21) 98880-3923

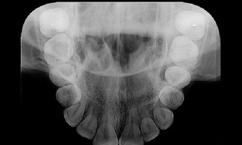
Tomografia Odontológica 3D (Cone Beam)

Equipamentos Modernos

Resultados Digitais

Espaço Calmo e Intimista

Exames com Horário
Agendado

Atendimento Humano e Acolhedor

Localização Privilegiada

Estacionamento Seguro
A tomografia odontológica é um exame de imagem que gera visualizações tridimensionais da boca, dentes e ossos, auxiliando o dentista em diagnósticos e planejamento de tratamentos com mais segurança.
É indicada para implantes, cirurgias, avaliação óssea, canais, dentes inclusos e outros tratamentos odontológicos.
Se o seu dentista solicitar esse exame, você pode realizá-lo com conforto e rapidez na Barra Laudo.
BOM Com base em 16 avaliações Publicado em Claudio Casares Atendimento profissional e agradável.Publicado em Amanda Carla Ótimo lugar!🙂Publicado em Rosiane Pereira da Silva Fui atendida por profissionais , muito educados e prestativos … adorei …💕Publicado em Vinicius Rezende Me indicaram essa clinica e foi uma boa surpresa, excelente atendido, os aparelhos novos e bem rápidos. Todos os funcionários mantendo a distância mínima na medida do possível. Me senti seguro e satisfeito com o serviço oferecido.Publicado em Thamires Rosa Tive uma ótima experiência na Barra Laudo! Fui muito bem atendida, os profissionais são impecáveis e consegui realizar vários exames de uma só vez, bem rapidinho. Indico de olhos fechados!
Sim. A tomografia odontológica geralmente é realizada mediante solicitação do dentista, que irá utilizar o exame para diagnóstico ou planejamento do seu tratamento.
Não. A tomografia odontológica é um exame rápido, indolor e não invasivo.
Você permanece em pé ou sentado por alguns instantes enquanto o equipamento realiza as imagens.
O procedimento é rápido e costuma levar apenas alguns minutos. Todo o processo é feito no horário agendado, sem longas esperas.
Atendemos convênios e pacientes particulares. Caso tenha dúvidas sobre cobertura ou valores, nossa equipe orienta diretamente pelo WhatsApp.
Estamos localizados no meio da Barra da Tijuca, com fácil acesso e estacionamento próximo.
Ponto de referência: Supermercado Guanabara.
Sim. A Barra Laudo atende dentistas que buscam um parceiro confiável em exames de imagem odontológicos, com qualidade técnica, laudos precisos e entrega digital.
Para conversar sobre parcerias, nossa equipe está disponível pelo WhatsApp.
A Barra Laudo é uma clínica especializada em radiologia e odontologia diagnóstica, e oferece serviços diferenciados e pioneiros, amparados pelo alto padrão e tecnologia de ponta.
Incorporando as mais modernas tecnologias da área, a Barra Laudo é a primeira clínica do Rio de Janeiro a oferecer documentações 100% digitais por conta dos scanners de modelo e intraoral.
Além do mais, estamos empenhados em incorporar a sustentabilidade e o respeito ao meio ambiente em todos os aspectos do nosso trabalho, desde a rotina da clínica até o uso de papel reciclado, demonstrando nosso compromisso com a causa ‘verde’.
Conte com as soluções da Barra Laudo para reduzir o tempo de tratamento e possibilidades de erros, levando mais precisão aos procedimentos em seu consultório.






(21) 98880-3923